什么是胎儿超声波标志物检查【医生监修】

胎児超音波ーマーカー検査

什么是胎儿超声波标志物检查

目前,回声(超声波)检查被广泛用于检查胎儿的形态异常上。通过这种检查在染色体异常中看到的超声结果被称为超声标志物。超声波标记物并不总是看出病理性事物。
由于这些发现也见于正常胎儿,因此应与形态异常分开考虑。在唐氏综合症(21三体综合症)中,早期的超声波标志物被叫做NT,是用来测量胎儿后头部皮下水肿的厚度的检查。这种检查也是产前诊断的一种,是一种非确诊性检查。

什么是唐氏综合症(21三体综合症)【医生监督】
...

什么时候做检查?什么样的检查?

Q:检查时期是什么时候?

在妊娠11周0天~13周6天之间进行。

Q:什么样的检查?

NT是一种观察后颈部皮下水肿厚度的检查。它存在于所有的胎儿中,即使NT很厚,仅凭这种检查也不能说明胎儿是正常还是不正常。另外,NT的厚度也与胎儿的大小有关,所以准确测量胎儿头顶的长度也很重要。

Q:能了解什么?

NT是在妊娠初期的有限时期内(11周~13周)在胎儿身上发现的正常・异常情况。NT本身不是一种疾病,而是胎儿妊娠初期特有的一种生理变化。一开始可能会增厚,但往往随着周数的增加而变得不太明显或消失。即使观察到NT增厚,也不一定是染色体疾病,而是可能潜藏有先天性心脏、骨骼或其他疾病。另外,不仅是NT,还可结合进行鼻骨・三尖瓣血流・静脉管血流等检查。

エコー検査機イメージ

Q:怎样才能进行检查?

可以根据要求进行查看NT的检查(染色体异常的筛查检查)。

Q:费用是多少?

各医疗机构的情况不同,但费用在1万日元~2万日元之间。

Q:基准值是多少?

据说小于3.5mm。根据基准值准确测量,即使NT为6mm,也有50%的机会生出健康的宝宝。

Q:如果NT超过6mm以上很担心怎么办?

只是妊娠初期的胎儿超声波标志物,所以只是非确诊性检查之一。如果疾病的可能性很大,就要进行明确诊断的绒毛检查或羊水检查。

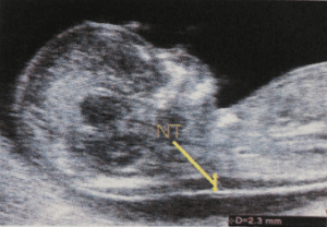
胎儿超声波标志物检查

在中段截面扩大上半身以测量NT。
世界一流的NIPT
了解早期NIPT (新型产前诊断) 检查,一种先进的检测方法,我们的诊所提供专业服务,帮助您了解宝宝的健康情况。...

記事の監修者


白男川 邦彦先生

岡 博史先生

【役職】

【資格】

【略歴】

【所属】

【SNS】

関連記事

  1. 先天性横隔膜ヘルニア(CDH)とは
  2. スミス・マギニス症候群とは
  3. 出生前診断を受ける割合
  4. トリプルX症候群(トリソミーX)
  5. モノソミーについて
  6. img-gender-judgment-nipt

人気の記事

  1. 受精から着床まで。妊娠超初期の知りたい!を解説
  2. 妊娠かな?と思ったら確認すべきこと
  3. 妊娠検査薬の正しい使い方